Yeni tip koronavirüse (Kovid-19) yakalanan hastaların 3 ay sonra yapılan yeni bir tarama yöntemiyle incelenen akciğerlerinde hasar oluştuğu tespit edildi. Araştırmada, virüse yakalandıktan 3 ay sonra 'nefes darlığı' ve 'yorgunluk' şikayetinde bulunan 10 hastadan 8'inin akciğerlerinde hasar oluştuğu görüldü.
Yeni tip koronavirüse (Kovid-19) yakalanan hastaların 3 ay sonra yapılan yeni bir tarama yöntemiyle incelenen akciğerlerinde hasar oluştuğu tespit edildi. Araştırmada, virüse yakalandıktan 3 ay sonra 'nefes darlığı' ve 'yorgunluk' şikayetinde bulunan 10 hastadan 8'inin akciğerlerinde hasar oluştuğu görüldü.
Yapılan araştırma sonucunda, Kovid-19'a yakalanan ve atlatan 10 hastadan 8'inin 3 ay sonra 'nefes darlığı' ve 'yorgunluk' şikayetinde bulunduğu ve yeni tarama yöntemi ile akciğerlerinde hasar oluştuğu görüldü.
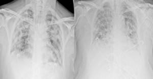
BBC'de yer alan habere göre, Oxford Üniversitesinden bilim insanları, yaşları 19 ila 69 arasında değişen 10 hastanın akciğerlerini ksenon gazı kullanarak manyetik rezonans (MR) ile taradı.
Tarama esnasında ksenon gazını içine çeken hastalardan 8'i nefes darlığı çektiğini söylerken, akciğer hasarının işaretleri görüldü.
Hastaların koronavirüs enfeksiyonundan 3 ay sonra 'nefes darlığının' yanı sıra 'yorgunluktan' şikayetçi olduğu fakat enfeksiyona yakalandıkları dönemde hiçbirinin yoğun bakıma alınmadığı veya ventilasyona ihtiyaç duymadığı ifade edildi.
Uzmanlar, hastalarda görülen akciğer hasarının, geleneksel tarama yöntemleri ile tespit edilemediğini belirtti.
Çalışma ekibinin başında yer alan Profesör Fergus Gleeson, 'Bir çeşit akciğer hasarı bekliyordum ancak karşılaştığımız seviyede değil' değerlendirmesinde bulundu.
Gleeson ve ekibi, koronavirüs enfeksiyonu esnasında hastaneye kaldırılmayan ve ciddi semptomlar göstermeyen kişilerde de benzer bulgular görülüp görülmediğini tespit etmek için taramayı 100 kişi üzerinde yapmayı planlıyor.
Kovid-19, ortaya çıktığı ilk dönemde solunum yolunun etkilenmesine neden olarak nefes almada zorluğa sebep veriyor.
Fakat hastalığın ilerlemesi halinde virüs ciğerlere yayılıyor ve geri dönüşü olmayan hasarlara hatta ölümcül sonuçlara neden olabiliyor.