Çin’de yaşayan 33 yaşındaki Chen Li isimli adam, 20 yıldır idrarında gördüğü kan ve midesinin ağrıması şikayetiyle hastaneye başvurdu. Doktorlar tarafından yapılan detaylı bir incelemenin sonucunda ortaya çıkanlar akıllara durgunluk getirdi.
Çin’de yaşayan Chen Li’nin başına gelenler şaşkınlık yarattı. Mide ağrısı ve idrar kanaması şikayetiyle gittiği hastanede başından aşağı kaynar sular döküldü. Önce apandisten şüphelenen doktorlar, genç adamı ultrasona soktu. Karın bölgesini detaylı inceledikten sonra gözlerine inanamadı. 20 yıldır idrarında kanama gören adamın başına gelenler sosyal medyada gündem oldu. İşte detaylar...
20 yıldır idrarında kanama gören 33 yaşındaki Chen Li adlı adam, şiddetli mide ağrısına maruz kalınca çareyi doktora gitmekte buldu.
Hastaneye koşan adamın önce apandisten şüphelenerek ultrasona soktular. Karın bölgesini inceledikten sonra gözlerine inanamadılar.
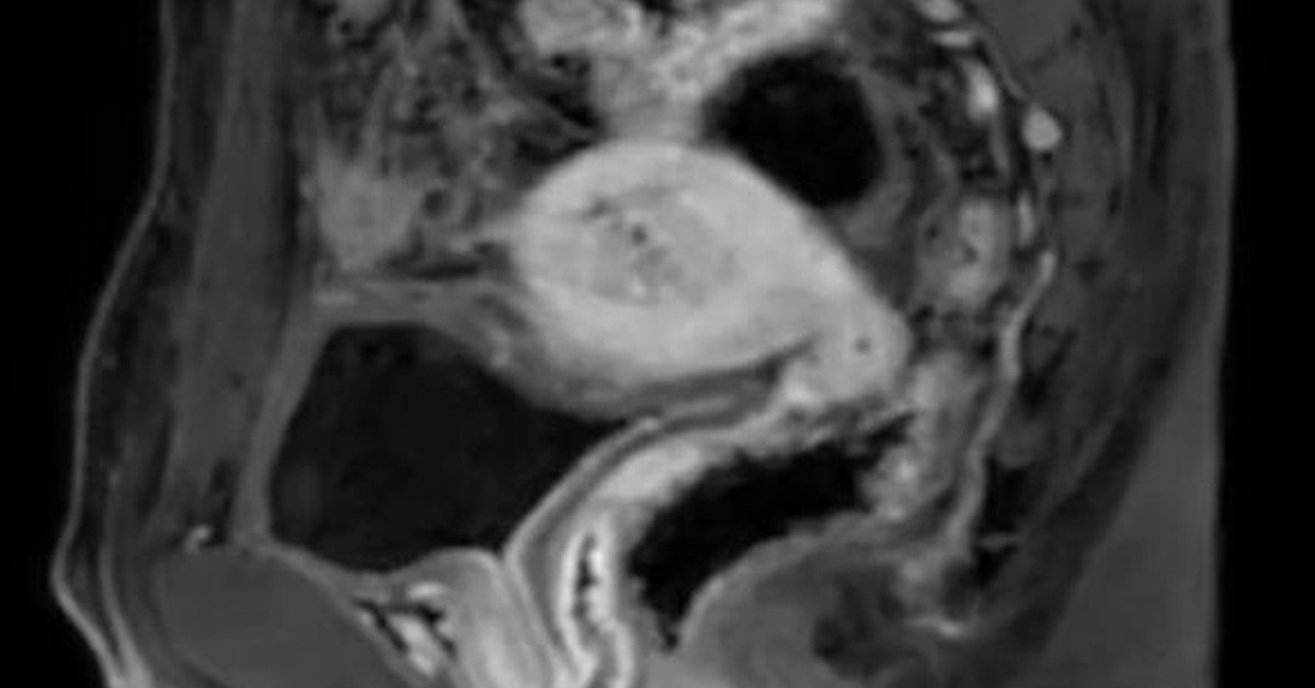
Doktorlar yaptıkları incelemede Chen Li’nin erkek organı dışında kadınlarda olduğu gibi bir rahmi ve yumurtalıkları olduğu belirlendi.
Otaya çıkan bu durum karşısında doktorlar şaşkınlıklarını gizleyemedi. İlk kez böyle bir durumla karşılaştıklarını belirttiler.
Daha sonra olan biten her şeyi Chen Li’ye anlattılar. 33 yaşındaki genç adamın 20 yıl boyunca adet gördüğü bu sebeple kanama gördüğü söylendi.
Duydukları karşısına yıkılan Chen Li, her kadında olduğu gibi adet kanaması gördüğünü itiraf etti.
Bu durumu herkesten gizleyen Chen Li, doktorlara yaptığı bu itiraftan sonra bütün hayatı alt üst oldu.
Çin’de yaşanan bu olay akıllara durgunluk getirdi. Sosyal medya bu olayı konuşuyor.