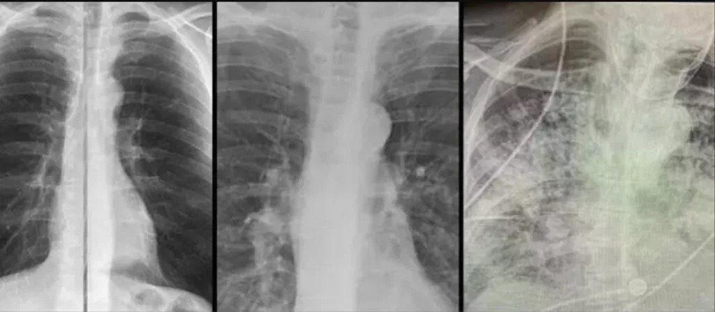
ABD'li bilim insanları koronavirüs salgınının ciğerlerde bıraktığı hasarı ortaya çıkardı. Sağlıklı, sigara içen ve koronavirüs hastası olan 3 kişinin akciğer röntgeni çekildi. Sonuçları yan yana getiren uzmanlar, ‘Koronavirüsün neden olduğu hasarın çok yüksek seviyede’ olduğunu bildirdi.
ABD'li bilim insanları koronavirüs salgınının ciğerlerde bıraktığı hasarı ortaya çıkardı. Sağlıklı, sigara içen ve koronavirüs hastası olan 3 kişinin akciğer röntgeni çekildi. Sonuçları yan yana getiren uzmanlar, ‘Koronavirüsün neden olduğu hasarın çok yüksek seviyede’ olduğunu bildirdi.
Tüm dünyaya yayılan ve milyonlarca insana bulaşan koronavirüsün vücutta neden olduğu tahribatla ilgili ABD’li bilim insanları çarpıcı bir açıklamada bulundu.
Teksas’ta bulunan Teksas Teknoloji Üniversitesi Sağlık Bilimleri Merkezi’nde Doç. Dr. Britatany Bankhead-Kendall, Kovid-19’a yakalanmış hastalarının akciğer filmini sigara içen biri ve sağlıklı bir kişinin filmleriyle karşılaştırdı.
Karşılaştırılan röntgen sonuçları büyük dikkat çekti. En soldaki görselde sigara içen bir bireyin akciğer filmi görülürken sağdaki filmde ise Kovid-19’u yenmiş bir bireyinki bulunuyor.
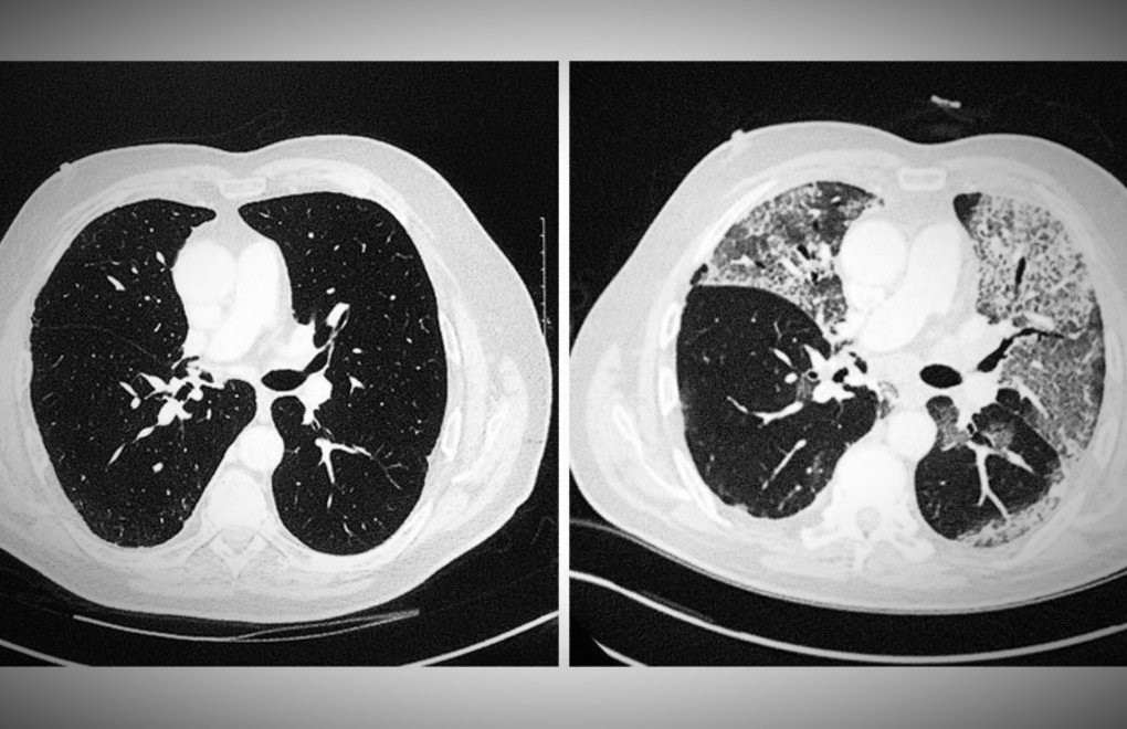
Akciğer filminde siyah alanlar ne kadar fazla ise o kişinin ciğer kapasitesi ve sağlığı o kadar iyi demektir. Beyaz kısımların artması ise akciğerin kapasitesinin azaldığı anlamını taşır.
Karşılaştırılan röntgen sonuçlarıyla Kovid-19’u geçirmiş ve sağlığına kavuşmuş kişilerin ciğerlerinde görülen hasarın sigara bağımlısı olan kişilerden çok daha kötü olduğunu gözler önüne seren Bankhead-Kendall, ‘Sağlıklı bir bireyin röntgen sonucunda siyah alan büyük olur. Bu da o kişinin ciğerlerine alabileceği oksijen seviyesini gösterir.
Sigara içenlerde hafif hareler yer alırken Covid-19 hastalarının ciğerleri ise bembeyazdır. Yani bu da koronavirüsü yenenlerde bile akciğer sorunları yaşanabildiğini gösteriyor’ açıklamasında bulundu.
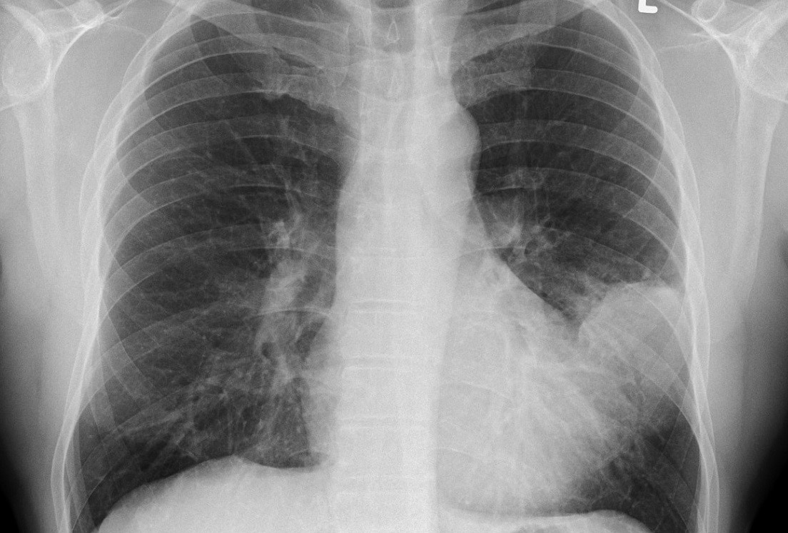
Bankhead-Kendall, karşılaştırma yapabilmek için sağlıklı bir bireye ait olan akciğer filmini de paylaştı. Kovid-19’u atlatan kişilerin nefes almakta sıkıntı yaşayabileceğine vurgulayan Bankhead-Kendall, sosyal medya hesabından, ‘Bunu kimin duyması gerek bilmiyorum fakat koronavirüsü geçirmiş bir kişinin akciğerleri, yıllarca sigara içmiş bir tiryakinin ciğerlerinden çok ama çok kötü. Bu insanlar bayılıyor, nefesleri kesiliyor ve benzeri birçok sorun yaşıyorlar’ dedi.
Bankhead-Kendall, yaptığı konuşmada ‘Birçok insan ölüm oranlarından ve koronavirüsün öldürücülüğünden bahsediyor fakat bu hastalığı yenenlerin ileride yaşayacağı sorunlar olacak’ diye konuştu.