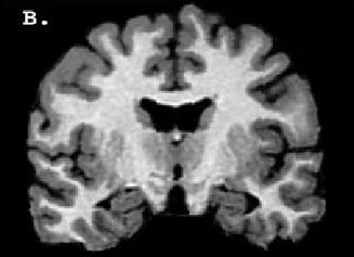
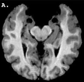
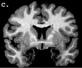
Amerika'nın Kentucky eyaletinde yaşayan bir kadın, beyninin Amigala kısmında yer alan genetik bir bozukluk nedeniyle korku duygusuna sahip değil.
SM ya da 046 olarak şifrelenen kadının ismi bilinmese de hastanede kaldığı süre boyunca teste tutulur ve korku duygusu test edilir.
İlk olarak 1994 yılında tıp literatürüne giren bu rahatsızlığın genel ismi Urbach-Wiethe.
Bu hastalıktan muzdarip olan kadına hastanede düzenli olarak korku filmleri izletilir. İzletilen filmlerde Kuzuların Sessizliği ve Blair Cadısı gibi kült korku filmleri yer almasına rağmen, kadın hiçbir korku belirtisi göstermez.
Hastalığı nedeniyle 'dünyanın en korkusuz kadını' olarak ünlenen SM, film testlerinde yalnızca merak ve heyecan duygusu yaşar.
SM, film testinin yanı sıra herkes tarafından korkulan hayvanlar ile karşılaştırılır ve tarantula, yılan gibi hayvanları hiç korkmadan eline alıp, sever.
Boynuna bıçak dayama gibi denemelere gülerek karşılık veren SM'nin korku seviyesinin 10 üzerinden 2 olduğu düşünüyor.
Hiçbir korku duygusu barındırmadığı için gece geç vakitlerde ıssız yerlere gidebilen SM, bu nedenle çok sayıda kapkaç ve tacize maruz kalır.
SM'nin korktuğu tek şey gaz maskesi ve karbondioksit zehirlenmesi...