Koronavirüs ile ilgili araştırmalar devam ederken Kanada ve İspanyol bilim insanlarının birlikte yürüttüğü çalışmada varılan sonuç endişeyi bir kat daha arttırdı. Dünyaya duyurulan çalışmaya göre, orta ve ileri şiddetli diş eti hastalığı olan kişilerde koronavirüs komplikasyonlarının ciddiyetinde artış görülüyor.
Toplumun genelinde görülen ve birçok kişinin hastalığa sahip olduğunu bilmeden yıllardır beklediği diş eti iltihabı vücudun birçok noktasını etkileyebiliyor. Koronavirüs salgınıyla ağız sağlığının korunması da bir hayli önem taşıyor. Koronavirüs enfeksiyonu ve diş eti hastalıkları arasındaki bağlantı da bilim insanları tarafından araştırılmaya başlandı.
Koronavirüsün bir enfeksiyon tablosu olduğunu hatırlatan Altınbaş Üniversitesi Diş Hekimliği bölümünden Dr. Öğr.Üyesi Mehmet Selim Yıldız, "Son zamanlarda yapılan çalışmalarda koronavirüse yakalanan bireylerin daha fazla diş eti hastalığına yakalandığı gösterilmiş. Kişiler diş etlerinde herhangi bir problem olduğu zaman bunu geciktirmemeli. Toplum genelindeki çekince ise şu; koronavirüs nedeniyle insanlar diş doktoruna gelmek istemiyor. Kişiler ortamdaki virüslerin hastalığa neden olacağına inanıyorlar.
Bizler diş hekimleri olarak koronavirüs öncesinde çapraz enfeksiyona karşı tedbirlerimizi almıştık. Bu dönemde hasta muayenelerinde zaman aralıklarını artırdık. Havalandırmalara dezenfeksiyon amaçlı eklenen filtreler sayesinde de havanın düzenli sirkülasyonu, havanın dezenfeksiyonunu sağladık. Son dönemde yapılan bazı çalışmalar da ağız gargaralarının koronavirüse karşı koruyucu etkisini gösterdi. Ancak bu çalışmalar henüz hakemli bir dergide yayınlanmadığından bu bilgiyi tavsiye niteliğinde sunuyoruz" diye konuştu.
Bizler diş hekimleri olarak koronavirüs öncesinde çapraz enfeksiyona karşı tedbirlerimizi almıştık. Bu dönemde hasta muayenelerinde zaman aralıklarını artırdık. Havalandırmalara dezenfeksiyon amaçlı eklenen filtreler sayesinde de havanın düzenli sirkülasyonu, havanın dezenfeksiyonunu sağladık.
Son dönemde yapılan bazı çalışmalar da ağız gargaralarının koronavirüse karşı koruyucu etkisini gösterdi. Ancak bu çalışmalar henüz hakemli bir dergide yayınlanmadığından bu bilgiyi tavsiye niteliğinde sunuyoruz" diye konuştu.
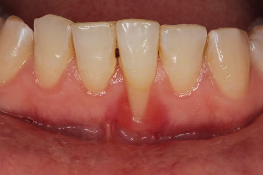
Diş eti hastalığına sahip kişilerin temel olarak diş etlerinde kanama şikayetiyle hekime başvurduğunu anlatan Dr. Öğr.Üyesi Mehmet Selim Yıldız, "Ancak diş etinde kanama olmadan özellikle sigara içen kişilerde kanama etkisi
görülmeden hastalık ortaya çıkabilmektedir. Çünkü sigara bu tabloyu gölgeler. Biz bu nedenle 6 ayda bir rutin diş eti muayenelerini öneriyoruz. En önemli belirtisi diş etindeki kanama, renk değişimi, diş etlerindeki şişliklerdir. Bazı hastalarda şişliklere ağrı da eşlik edebiliyor. Hastalar bu durumlarda bize geliyorlar. Ancak bu durumu kesin teşhis ile ortaya koymamız ve var olan hastalığı durdurmamız gerekir" ifadelerini kullandı.