Ameliyata neden olan nesneler, ameliyat sırasında vücutlardan çıkan tuhaf şeyler, ilginç bilgiler galerimizde.
Ameliyat sırasında vücutlarından çıkan şeylerle tıp tarihine geçen 15 insan
Basit bir mide ağrısı, karın ağrısı, kulak ağrısı gibi şikayetler doktora gitmişlerdi. vücutlarında davetsiz misafirler olduğundan haberleri yoktu!
Sizler için tıp tarihine girmiş insanların vücutlarından çıkan oldukça tuhaf davetsiz misafirleri derledik...
Tenya
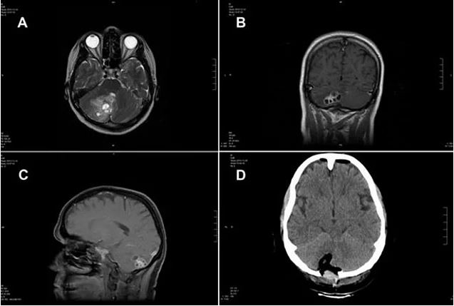
Rosemary alvarez beyninde tümör olduğunu düşünüyordu. doktora gidip ameliyata girdiğinde, doktorlar kadının beyin köküne yapışmış bir tenya olduğunu gördüler. başarılı geçen ameliyat sonrası rosemary iyileşti. tenya, zavallı kadının beynine insan dışkısı bulaşmış bir yemek yediği için yerleşmişti.
Kurtçuk
Amerika’nın ıowa eyaletinde yaşayan john matthew gittikçe görme yetisini kaybediyordu. doktora gittiğinde, göz retinasını yiyip bitirmekte olan bir kurtçuk olduğu görüldü. doktorlar lazerle kurtçuğu öldürmeye çalıştıkları sırada john kurtçuğun yaşamak için kaçmaya çalıştığını gördüğünü söyledi. sonunda kurtçuğu öldürmeyi başarmasalardı bu kurtçuk john’un ölümüne sebep olabilirdi.
Örümcek
Çinli bir kadın kulağı çok kaşındığı için doktora gitti ve doktorlar kadının kulağını kontrol ederken bir sürprizle karşılaştılar. bir örümcek kendine yeni bir ev bulmuştu. örümceği çıkarabilmek için salin solüsyonu kulağa dökülünce minik örümcek kendine başka bir ev bulmak zorunda kaldı.
Balık
Hindistan’da bir nehirde oyun oynayan çocuk, yanlışlıkla 9 cm uzunluğunda bir balık yuttu. ancak balık akciğerine kaçmıştı. asıl sürpriz olan konu ise doktorların çocuğun akciğerleri kontrol ederken balığın hala canlı olduğunu görmeleriydi!
yılan balığı
Kötü bir şaka sonucunda, bir adamın anüsüne yılan balığı kaçtı. iddialara göre kurbanın arkadaşları(!) adama bir şaka yapmak istemişlerdi ve poposuna yılan balığı koymuşlardı. ancak yılan balığı bir anda anüsünden içeri girmiş ve kaybolmuştu. doktorlar yılan balığını zavallı adamın vücudundan başarılı bir şekilde çıkardılar. vücudunda kalıcı bir hasar oluşmadı, onuruna gelen hasar dışında.
Çivi
Prax sanchez, kulak ağrısı şikayetiyle doktora gitti. doktorlar, mr çekmeye çalıştılar ancak prax çok acı çektiği için devam edemediler. mr makinesi prax’in vücudunda metal parçası tespit etti. (bildiğiniz üzere mr makineleri ve metal eşyalar çok anlaşamazlar) daha sonra, doktordan ayrılacağı sırada öksürmeye başladı ve genzinden 2,5 cm uzunluğunda çivi çıktı. yani mr makinesi çivinin kulağından boğazına oynamasına sebep olmuştu ve öksürdüğünde çıkmasını sağlamıştı.
Kemer
Hindistan’da, doktorların ilk başta klasik bir tüberküloz vakası olarak düşündükleri vaka inanılmaz bir şekilde sonuçlandı. anuj ranjan’ın göğüs boşluğunda bir enfeksiyon vardı. doktorlar ameliyat sırasında göğüs boşluğunu açtılar ve gördükleri karşısında şoka girdiler. anuj’un göğüs boşluğunda 2,5 metre uzunluğunda bir kemer vardı. yıllar önce kötü bir trafik kazası geçirmişti ve kemer o sırada vücuduna girmişti, nasıl olduysa kazadan sonra onu tedavi eden doktorlar kemeri gözden kaçırmışlardı.
Karahindiba
Çin’de, doktorlar 18 aylık bir kız çocuğunun kulağında karahindiba buldu. 2 cm boyuna gelen karahindiba, zavallı çocuğun kulak kanalını neredeyse tamamen kapatmıştı.
Sinek larvası
Amerika’nın colorado eyaletinde yaşayan aaron dallas, yaz tatili için belize’yi seçti ancak bu tatil genç adam için korkutucu oldu. tatilden sonra kafa derisinde yumrular oluştuğunu gören adam doktora gitti. yumrulara dokunduğunda hareket ettiklerini hissettiğini söyledi ama bunun sadece kan akışı olduğunu düşündü. ama aaron çok yanılıyordu. doktorlar kafasından tam 5 tane sinek larvası çıkardılar!
bezelye
Anfizem hastalığıyla süren uzun bir savaştan sonra kanser teşhisi konulan ron sveden, bir gün kötüleşti ve acilen hastaneye kaldırıldı çünkü akciğerleri iflas etmişti. doktorlar, ron’un akciğerinde 1.25 cm uzunluğunda, büyümekte olan bir bezelye tohumu keşfetti. ron’un bezelye yediği sırada bir şekilde işlerin ters gittiğini düşünüyorlar. ameliyattan sonra ise yediği ilk hastane yemeği bezelye ve olmuş ve bu duruma çok gülüp tekrar yemiş.
Hamam böceği
60 yaşındaki adam, kulağının içinde kımıldayan hamamböceğini öldürmek için elinden geleni yaptı. cımbız kullandı hatta kürdanla bile şansını denedi. en sonunda kulağına böcek ilacı sıktı ve savaşın kazananı oldu. ancak ölü hamam böceği içeride tıkılı kaldı ve enfeksiyona neden oldu. doktorlar başarılı bir ameliyatla hamam böceğini çıkardılar.
Saç yumağı
Genç bir kız, bir şeyler içtiği zaman hasta olduğu şikâyetiyle doktora gitti. doktorlar ameliyat sırasında, kızın midesinde 4 kg ağırlığında saç yumağı buldular. genç kızın saç yeme alışkanlığı olduğu ve saplantılı bir şekilde saç yediği öğrenildi.
köknar ağacı
Artyom sidorkin inanılmaz bir göğüs ağrısıyla ve öksürdüğünde kan gelme şikâyetiyle hastaneye gitti. doktorlar yüzde yüz emin bir şekilde kanser teşhisi koydular ancak ameliyat sırasında doktorlar, artyom’un akciğerinde 5 cm uzunluğuna köknar ağacı büyüdüğünü gördüler. artyom’un hava soluğu sırada tohumun akciğerlerine kaçtığını ve orada filizlenmeye başladığına inanılıyor.
Larva
Kazakistanlı doktorlar bir erkek çocuğunun kulağından inanılmaz rahatsız edici bir şey çıkardılar. doktora kulak ağrısı şikayetiyle giden çocuğun kulağında larvalar bulundu. 1 cm uzunluğundaki 12 larva çocuğun kulağından başarılı bir ameliyatla çıkarıldı. eğer tedavi edilmeseydi bu kurtçuklar beynine gidebilir ve çocuğu öldürebilirlerdi.
Deniz salyangozu
Paul franklin sahilde düştü ve dizini yaraladı. ufak bir sıyırık olduğunu düşündüler ve önemsemediler. ancak, 2 hafta sonra dizi iltihaplandı. doktorlar bunun sıradan bir enfeksiyon olduğunu düşündüler ve paul’u antibiyotikle tedavi etmeye başladılar. ancak tedavi başarısız oldu ve enfeksiyon geçmedi. annesi ise geleneksel bir yönteme başvurdu ve yarasını sıktı. sürpriz bir şekilde yaranın içinden taş çıktı, daha doğrusu aile öyle sandı. yaradan çıkan şey bir salyangozdu! paul daha sonra salyangozu sahiplendi ve ona 'turbo' ismini verdi.