İsmi belirtilmeyen 50 yaşında bir adam 3 gün boyunca tuvalete çıkamamasından sonra eşiyle birlikte hastaneye gitti. Adamı muayene etmeye başlayan doktorlar, muayene esnasında bir sorun göremedi. Adamın başka bir şikayeti olmadığı için röntgen filmi istedi. Röntgen filmi çekildikten sonra gerçek ortaya çıktı.
İranlı olduğu belirtilen adam günlerdir tuvalete çıkamama sebebiyle gittiği hastanede bütün gerçekler ortaya çıktı. Aslında her şeyin bilincinde olan adam, karısıyla birlikte doktor muayenesinden geçti. Tuvalete gidememesinin dışında herhangi bir sorunu olmayan adamın röntgen filmi çekildi. Doktorların röntgen filmini incelemesiyle bütün gerçekler ortaya çıktı. İşte detaylar...
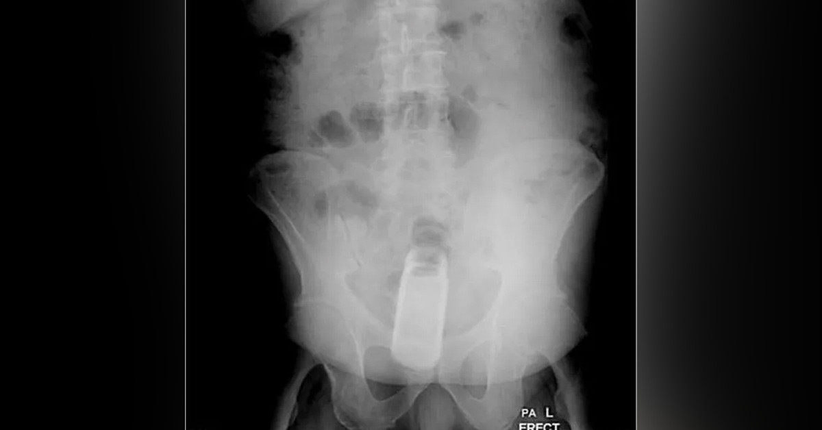
İranlı adamın bütün derdi, çektirdiği röntgen filmlerinin çıkmasıyla doktorlar tarafından anlaşıldı.
Doktorlar detaylı bir incelemenin sonucunda adamın makatında 12 santimetre boyutunda bir pet şişe buldu.
Adam pet şişeyi kendiliğinden makatına aldı fakat karısından utandığı için hiçbir şeyi itiraf edemedi.
Acil olarak işlemlerin yapılmasının ardından İranlı adam hemen ameliyata alındı. Operasyon geçirdi.
Genel anestezi uygulanan adamın makat bölgesi yırtılmadan ve kanama olmadan makatındaki şişe çıkarıldı.
Doktorlar bu haberi karısıyla paylaştı. Karısı İranlı adamın bunu neden yaptığına anlam veremedi.
Doktorlar İranlı adamın makatına pet şişeyi isteyerek alması sebebiyle psikolojik sorunları olduğunu tespit etti.
Doktorlar, hastanede süren ameliyat ve ameliyat sonrası işlemlerin bitiminden sonra psikiyatri kliniğine sevk etti.